症例

CASE

高知はもちろん、愛媛・香川・徳島と四国の方々に先進の歯科治療をご提供する田岡歯科・矯正歯科クリニック。マウスピース矯正「インビザライン」の症例をご案内致します。

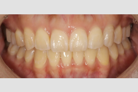
  • Before
    After

    55|20代/女性/インビザラインフル矯正/抜歯なし

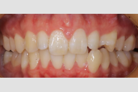
  • Before
    After

    54|20代/女性/インビザラインフル矯正/抜歯あり

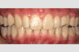
  • Before
    After

    53|20代/女性/インビザラインフル矯正/抜歯あり

  • Before
    After

    52|30代/男性/インビザラインフル矯正/抜歯あり

  • Before
    After

    51|60代/女性/インビザラインフル矯正/抜歯なし

  • Before
    After

    50|20代/女性/インビザラインフル矯正/抜歯なし

  • Before
    After

    49|20代/女性/インビザラインフル矯正/抜歯なし

  • Before
    After

    48|30代/女性/インビザラインフル矯正/抜歯なし

  • Before
    After

    47|50代/女性/インビザライン部分矯正(5-5) /抜歯なし

  • Before
    After

    46|20代/インビザラインフル矯正/抜歯なし

  • Before
    After

    45|20代/女性/インビザラインフル/抜歯なし

  • Before
    After

    44|20代/女性/インビザラインフル/抜歯なし

  • Before
    After

    43|20代/女性/インビザラインフル/抜歯なし

  • Before
    After

    42|20代/男性/インビザラインフル/抜歯あり

  • Before
    After

    41|30代/女性/インビザラインフル/抜歯なし

  • Before
    After

    40|40代/女性/インビザラインフル/抜歯なし

  • Before
    After

    39|30代/女性/インビザラインフル/抜歯なし

  • Before
    After

    38|30代/ 女性/インビザラインフル/抜歯なし

  • Before
    After

    37|20代 女性/インビザラインフル/抜歯なし

  • Before
    After

    36|20代/ 女性/インビザラインフル/抜歯なし

  • Before
    After

    35|30代/女性/インビザラインフル/抜歯なし

  • Before
    After

    34|40代/女性/インビザラインフル/抜歯なし

  • Before
    After

    33|20代/女性/インビザラインフル/抜歯あり

  • Before
    After

    32|30代/女性/インビザラインフル/抜歯なし

  • 24時間いつでも予約可能

    パソコンやスマホ、タブレットで、
    いつでもどこでも予約ができます。

    Web予約
  • 2回目以降は便利に

    LINEでお友達追加をしていただくと
    2回目からは便利なLINE予約が可能!

    LINE予約