症例

CASE

高知のホワイトニング専門サロン「ホワイトニング・サロン・ユー」からホワイトニングの症例をご案内。

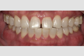
  • Before
    After

    2ヶ月コース/・オフィスホワイトニング4回・ホームホワイトニングスタートセット・ホームジェル2ヶ月分

  • Before
    After

    2ヶ月コース/・オフィスホワイトニング4回・ホームホワイトニングスタートセット・ホームジェル2ヶ月分

  • Before
    After

    女性/3ヶ月コース/・オフィスホワイトニング6回・ホームホワイトニングスタートセット・ホームジェル3ヶ月分

  • Before
    After

    3ヶ月コース/・オフィスホワイトニング6回・ホームホワイトニングスタートセット・ホームジェル3ヶ月分

  • Before
    After

    3ヶ月コース/・オフィスホワイトニング6回・ホームホワイトニングスタートセット・ホームジェル3ヶ月分

  • Before
    After

    3ヶ月コース/・オフィスホワイトニング6回・ホームホワイトニングスタートセット・ホームジェル3ヶ月分

  • Before
    After

    3ヶ月コース/・オフィスホワイトニング6回・ホームホワイトニングスタートセット・ホームジェル3ヶ月分

  • Before
    After

    3ヶ月コース/・オフィスホワイトニング6回・ホームホワイトニングスタートセット・ホームジェル3ヶ月分

  • Before
    After

    大学生男性/3ヶ月コース/・オフィスホワイトニング6回・ホームホワイトニングスタートセット・ホームジェル3ヶ月分

  • Before
    After

    3ヶ月コース/・オフィスホワイトニング6回・ホームホワイトニングスタートセット・ホームジェル3ヶ月分

  • Before
    After

    3ヶ月コース/・オフィスホワイトニング6回・ホームホワイトニングスタートセット・ホームジェル3ヶ月分

  • 24時間いつでも予約可能

    パソコンやスマホ、タブレットで、
    いつでもどこでも予約ができます。

    Web予約
  • 2回目以降は便利に

    LINEでお友達追加をしていただくと
    2回目からは便利なLINE予約が可能!

    LINE予約