症例

CASE

高知のホワイトニング専門サロン「ホワイトニング・サロン・ユー」からホワイトニングの症例をご案内。

  • Before
    After

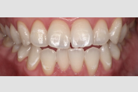
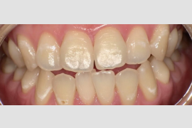
    60代男性/3ヶ月コース/ •オフィスホワイトニング6回 •ホームホワイトニングスタートセット•ホームジェル3ヶ月分

  • Before
    After

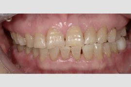
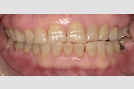
    30代女性/3ヶ月コース/ •オフィスホワイトニング6回 •ホームホワイトニングスタートセット•ホームジェル3ヶ月分

  • Before
    After

    50代女性/2ヶ月コース/ •オフィスホワイトニング4回 •ホームホワイトニングスタートセット•ホームジェル2ヶ月分

  • Before
    After

    50代女性/3ヶ月コース/ •オフィスホワイトニング6回 •ホームホワイトニングスタートセット•ホームジェル3ヶ月分

  • Before
    After

    20代女性/3ヶ月コース/ •オフィスホワイトニング6回 •ホームホワイトニングスタートセット•ホームジェル3ヶ月分

  • Before
    After

    40代男性/3ヶ月コース/ •オフィスホワイトニング6回 •ホームホワイトニングスタートセット•ホームジェル3ヶ月分

  • Before
    After

    70代女性/2ヶ月コース/・オフィスホワイトニング4回・ホームホワイトニングスタートセット・ホームジェル2ヶ月分

  • Before
    After

    20代女性/3ヶ月コース/・オフィスホワイトニング6回・ホームホワイトニングスタートセット・ホームジェル3ヶ月分

  • Before
    After

    70代女性/年間コース/・オフィスホワイトニング9回・ホームホワイトニングスタートセット・ホームジェル3ヶ月分

  • Before
    After

    20代女性/3ヶ月コース/・オフィスホワイトニング6回・ホームホワイトニングスタートセット・ホームジェル3ヶ月分

  • Before
    After

    40代男性/3ヶ月コース/・オフィスホワイトニング6回・ホームホワイトニングスタートセット・ホームジェル3ヶ月分

  • Before
    After

    40代女性/3ヶ月コース/・オフィスホワイトニング6回・ホームホワイトニングスタートセット・ホームジェル3ヶ月分

  • Before
    After

    60代女性/3ヶ月コース/・オフィスホワイトニング6回・ホームホワイトニングスタートセット・ホームジェル3ヶ月分

  • Before
    After

    40代女性/3ヶ月コース/・オフィスホワイトニング6回・ホームホワイトニングスタートセット・ホームジェル3ヶ月分

  • Before
    After

    20代女性/3ヶ月コース/・オフィスホワイトニング6回・ホームホワイトニングスタートセット・ホームジェル3ヶ月分

  • Before
    After

    60代男性/3ヶ月コース/・オフィスホワイトニング6回・ホームホワイトニングスタートセット・ホームジェル3ヶ月分

  • Before
    After

    30代女性/2ヶ月コース/・オフィスホワイトニング4回・ホームホワイトニングスタートセット・ホームジェル2ヶ月分

  • Before
    After

    20代女性/2ヶ月コース/・オフィスホワイトニング4回・ホームホワイトニングスタートセット・ホームジェル2ヶ月分

  • Before
    After

    30代女性/2ヶ月コース/・オフィスホワイトニング4回・ホームホワイトニングスタートセット・ホームジェル2ヶ月分

  • Before
    After

    40代女性/3ヶ月コース/・オフィスホワイトニング6回・ホームホワイトニングスタートセット・ホームジェル3ヶ月分

  • Before
    After

    20代女性/3ヶ月コース/・オフィスホワイトニング6回・ホームホワイトニングスタートセット・ホームジェル3ヶ月分

  • Before
    After

    20代女性/3ヶ月コース/・オフィスホワイトニング6回・ホームホワイトニングスタートセット・ホームジェル3ヶ月分

  • Before
    After

    3ヶ月コース/・オフィスホワイトニング6回・ホームホワイトニングスタートセット・ホームジェル3ヶ月分

  • Before
    After

    3ヶ月コース/・オフィスホワイトニング6回・ホームホワイトニングスタートセット・ホームジェル3ヶ月分

  • 24時間いつでも予約可能

    パソコンやスマホ、タブレットで、
    いつでもどこでも予約ができます。

    Web予約
  • 2回目以降は便利に

    LINEでお友達追加をしていただくと
    2回目からは便利なLINE予約が可能!

    LINE予約